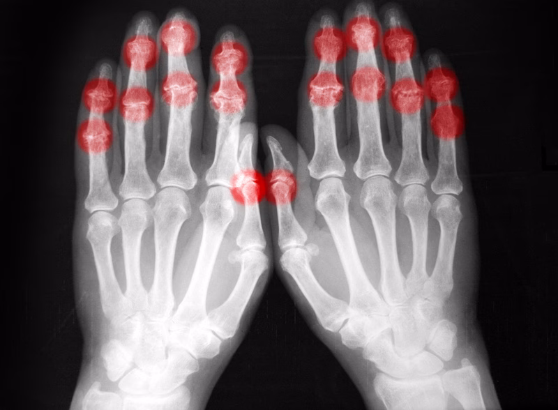
African Health News Radiography demand surges amid manpower shortage and rising complications The demand for medical imaging procedures has led to a surge in diagnostic investigations, resulting in rising complication trends and […] December 1, 2025